Before & After photos of our patients teeth

At Anele de Novo Dental Practice we see patients with all kinds of different dental problems. From simple concerns such as tooth discolouration and misalignments, to receding gums and missing teeth. We understand how the appearance of your teeth can greatly affect your self-esteem and at Anele de Novo, we can help bring back that confidence with the smile of dreams.

Our highly qualified dental team have the skills and experience to create a natural looking smile that will change your life. Call our team on 01227 371937 and book a consultation today.

Dental Implants

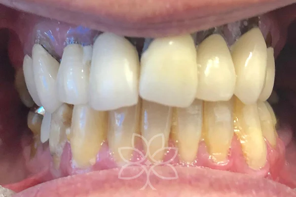
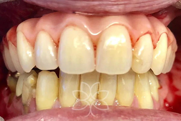
Before - Faversham
After - Faversham
Before - Faversham
After - Faversham
Before - Faversham
After - Faversham

Teeth Straightening

Before - Faversham
After - Faversham

Cosmetic Bonding

Before - Faversham
After - Faversham

Lip Fillers

Before - Faversham
After - Faversham

Air Polishing

Before - Faversham
After - Faversham
Anele de Novo Dental Practice Logo Icon

Why choose
Anele de Novo

  • Great patient satisfaction with a high Google rating
  • Quality dentistry at competitive prices
  • Highly qualified team of professionals
  • Comprehensive range of treatments available
  • Modern facilities in a relaxed environment
  • Experienced staff, committed to caring for you

Enquiry Form

To find out more or to book an appointment, give us a call, send an email or fill in the enquiry form above.

Anele de Novo Dental Practice Logo Icon